高分解能PET装置で従来よりも高画質な画像を撮像 正確な診断が可能となり、認知症の早期治療への貢献に期待

近畿大学医学部(大阪府大阪狭山市)放射線医学教室(放射線診断学部門)主任教授 石井 一成らの研究グループは、株式会社島津製作所(京都府京都市)開発の頭部・乳房を切り替えて使用できる世界初の高分解能※1 PET※2 装置「TOF※3-PET装置 BresTome」のプロトタイプを用いて、従来の装置よりも高画質(高分解能)の画像を撮像し、診断時におけるその有用性を示しました。本PET装置で撮像した高画質な画像を用いることで、正確な診断を必要とする認知症の早期治療に貢献することが期待されます。
本件に関する論文が、令和5年(2023年)1月4日(水)に、米国核医学会の専門誌"Journal of Nuclear Medicine"に掲載されました。
【本件のポイント】
●島津製作所が開発した、頭部・乳房を切り替えて使用することができる、世界初の「TOF-PET装置 BresTome」が提供する画像を用いて、より正確な診断が可能に
●従来のPET/CT装置と比較し、高い分解能の良好な画像を得ることができ、臨床使用においての有用性が期待できる
●早期検査と正確な診断が欠かせない認知症の早期治療への貢献に期待
【研究の背景】
PET検査は、CTやMRIのような形態の異常をみる画像検査と違い、代謝などの機能をみる機能画像検査であり、脳の分野においては、ブドウ糖代謝やアルツハイマー病の原因となる物質の蓄積を画像化することが可能です。しかし、PETのような機能画像は、形態画像と比較すると分解能が劣り、ぼやけた画像になるという欠点があります。そこで、分解能が高い、いわゆる解像度の高い画像を撮像できるPET装置の開発が望まれています。
【本件の内容】
近畿大学医学部と島津製作所は、令和2年(2020年)10月から、島津製作所が開発した「TOF-PET装置 BresTome」のプロトタイプを用いた臨床研究を、近畿大学病院で実施してきました。BresTomeは、乳房専用PET装置を改良した、乳房だけでなく頭部専用としての撮像もできる世界初のPET装置です。
臨床研究では、主に認知症患者に対し、ブドウ糖代謝とアミロイド※4沈着の有無をみる検査を行い、本PET装置と従来のPET/CT装置で撮像した画像を比較検討しました。その結果、全例において本PET装置で撮像した画像の分解能が優れていることが明らかとなり、症例によっては診断が変わることさえありました。これにより、臨床使用においても、本PET装置が正確な診断を可能にし、認知症の早期治療に貢献するものであることが示されました。

【論文掲載】
掲載誌:Journal of Nuclear Medicine(インパクトファクター: 11.082@2021)
論文名:
High-resolution silicon photomultiplier time-of-flight dedicated head PET system for clinical brain studies
(脳PET検査のための高分解能TOF半導体頭部専用PET装置)
著者 :
石井 一成1,2*、花岡 宏平2、渡邊 翔太2、石川 大介2、山田 誉大2、甲斐田 勇人1,2、山川 善之3、南川 涼香3、竹ノ内 志帆3、大谷 篤3、水田 哲郎3
*責任著者
所属 :
1 近畿大学医学部放射線医学教室(放射線診断学部門)、2 近畿大学病院高度先端総合医療センターPET分子イメージング部、3 株式会社島津製作所医用機器事業部
【研究詳細】
島津製作所は、現在臨床使用されている乳房専用PET装置「Elmammo」を改良して、頭部専用PET装置としても利用できる世界初のPET装置「TOF-PET装置 BresTome」を開発しました。本PET装置は、従来のPET/CT装置よりも高分解能、高感度を目指して開発したものです。より鮮明な画像が得られることを臨床画像で確認するために、近畿大学病院において、特定臨床研究として乳房FDG-PET検査※5 、脳FDG-PET検査※6 および脳アミロイドPET検査※7 を実施しました。そして、今回はまず、頭部専用PETの研究解析について検証を行いました。
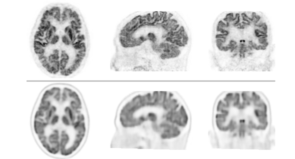
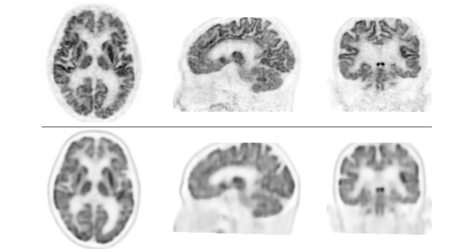
検証では、認知機能障害、てんかん等の18名の患者において、脳FDG-PET装置を用いて撮像した画像と、本PET装置で撮像した画像を比較しました。次に、認知機能障害患者17名において、従来のPET/CT装置を用いた画像と本PET装置で撮像した画像を比較しました。その結果、全例において本PET装置による画像の分解能が優れており、従来型よりも分解能が高く、細かいところまで描出できることが示されました。
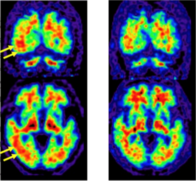
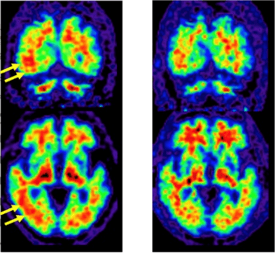
また、これまで脳アミロイドPET検査においては、灰白質への集積が曖昧で、判定に苦慮する症例が約1割あるといわれてきました。今回の検証では、17例中1例の患者において、従来型PET/CT装置で、右側頭葉にアミロイド沈着が確認されました。読影指針※8 に従えば、アミロイド沈着陽性(アルツハイマー病理が存在する)と診断されるものです。しかし、本PET装置による画像では、右側頭葉を含めたどの部位にもアミロイド沈着はなく、陰性と判定され、診断が変更されることになりました。
認知症の早期治療には、早期検査と正確な診断が欠かせません。本研究で得られた知見を、近畿大学病院での今後の臨床*に反映できればと考えています。
*注意:認知症の脳FDG-PET検査、脳アミロイドPET検査は保険適用外です。

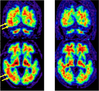
左:従来PEF/CT装置により得られた脳アミロイドPET画像
黄色矢印の部分で灰白質にアミロイドの分布を示すPET薬剤集積がひろがっているようにみえ(赤い部分が脳の表面までひろがっている)、同部にアミロイドが蓄積していると判定された。
右:本装置により得られた脳アミロイドPET画像
従来PET/CT装置でアミロイド蓄積陽性と判定された部分について、灰白質まで集積が及んでいないことが明白である(赤い部分は脳の表面まで達していない)。
【研究支援】
本研究は、島津製作所の受託研究費を受け、特定臨床研究(jRCTs052200055)として行われました。
【用語解説】
※1 分解能:装置などで対象をどれだけ細かく測定できるかを示す能力。
※2 PET:Positron Emission Tomography(陽電子放出断層撮像)の略語。陽電子放出核種で標識された放射性医薬品を投与し、そこから出る消滅ガンマ線をPET装置で検出することで薬剤の集積度を画像化する。
※3 TOF(Time of Flight):PET装置で消滅ガンマ線の飛行時間差を検出し、ポジトロンの位置を特定することで、従来のPET装置と比較して良好な画質を得る手法。
※4 アミロイド:異常タンパク質の一種で、脳の灰白質に蓄積することでアルツハイマー病の原因と考えられている。
※5 乳房FDG-PET検査:乳がんにはブドウ糖が強く集まるため、ブドウ糖の集積度を診断することで、悪性度の強さがわかる。
※6 脳FDG-PET検査:脳はブドウ糖をエネルギー源にしているため、脳のどの部位でブドウ糖の消費が低下しているのかをみることができる。
※7 脳アミロイドPET検査:アルツハイマー病の原因物質であるアミロイドが脳に溜まっているかどうかをPETで撮影できる。
※8 読影指針:アミロイドPETの画像を読影する場合、どのような所見があればアミロイドが溜まっている(陽性)、あるいは溜まっていない(陰性)と判断するのか、その方法・基準をしめしたもの。
【関連リンク】
医学部 近畿大学病院 教授 石井 一成(イシイ カズナリ)
https://www.kindai.ac.jp/meikan/543-ishii-kazunari.html
医学部 医学科 講師 甲斐田 勇人(カイダ ハヤト)
https://www.kindai.ac.jp/meikan/1981-kaida-hayato.html

















