atpress

プレスリリース/ニュースリリース配信サービスのアットプレス

プレスリリースを配信プレスリリースを受信ログイン/会員登録
新着エンタメグルメ旅行ファッション・美容ライフスタイルスポーツビジネステックモバイル乗り物クラファン
    トップ
    石井一成に関するプレスリリース

    「石井一成」に関するプレスリリース

    Neurophet社が、近畿大学医学部へ脳神経変性画像分析ソフトウェア「Neurophet AQUA」を供給。 日本への供給は、近畿大学医学部が初めて!
    Neurophet社が、近畿大学医学部へ脳神経変性画像分析ソフトウェア「Neurophet AQUA」を供給。 日本への供給は、近畿大学医学部が初めて!

    Neurophet社が、近畿大学医学部へ脳神経変性画像分析ソフトウェア「Neurophet AQUA」を供給。 日本への供給は、近畿大学医学部が初めて!

    学校法人近畿大学

    2023年4月27日 13:00
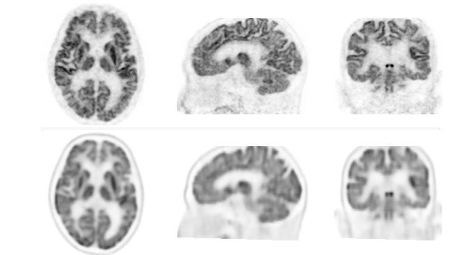
    高分解能PET装置で従来よりも高画質な画像を撮像 正確な診断が可能となり、認知症の早期治療への貢献に期待
    高分解能PET装置で従来よりも高画質な画像を撮像 正確な診断が可能となり、認知症の早期治療への貢献に期待

    高分解能PET装置で従来よりも高画質な画像を撮像 正確な診断が可能となり、認知症の早期治療への貢献に期待

    学校法人近畿大学

    2023年1月6日 14:30
    1

    プレスリリース配信

    • トップ
    • サービス・料金
    • 配信先メディア
    • パートナーメディア
    • 記事掲載数ランキング
    • 広報お役立ちコンテンツ

    サポート

    • 無料会員登録
    • ログイン
    • パスワード再設定
    • お問い合わせ
    • よくあるご質問
    • お知らせ
    • プレスリリース受取申込
    • 無料プレスリリース相談会
    • セミナー

    関連サービス

    • クリッピングサービス @クリッピング
    • 総合メディアリスニングツール ClipMaster
    • インフルエンサーPR Find Model
    • インフルエンサーPR・タレントマネジメント iHack
    • インフルエンサーマッチングプラットフォーム Find Model Circle
    • 反社チェックサービス RISK EYES
    FacebookTwitterInstagram
    • 運営会社
    • パートナープログラム
    • 利用規約
    • プライバシーポリシー
    • 資金決済法に基づく表示

    Copyright 2001-2026 SOCIALWIRE CO.,LTD. All rights reserved.

    • 運営会社• パートナープログラム• 利用規約• プライバシーポリシー• 資金決済法に基づく表示
    FacebookTwitterInstagram

    Copyright 2001-2026
    SOCIALWIRE CO.,LTD. All rights reserved.