atpress

プレスリリース/ニュースリリース配信サービスのアットプレス

プレスリリースを配信プレスリリースを受信ログイン/会員登録
新着エンタメグルメ旅行ファッション・美容ライフスタイルスポーツビジネステックモバイル乗り物クラファン
    トップ
    早期治療に関するプレスリリース

    「早期治療」に関するプレスリリース

    4月は「肝臓・胆道・膵臓のがん検診」   医誠会国際総合病院で「週末検診」を開催
    4月は「肝臓・胆道・膵臓のがん検診」   医誠会国際総合病院で「週末検診」を開催

    4月は「肝臓・胆道・膵臓のがん検診」 医誠会国際総合病院で「週末検診」を開催

    医療法人医誠会

    2025年4月8日 10:00
    臨床的意義不明なバリアントを網羅的に解析することで遺伝子診断の迅速化を実現
    臨床的意義不明なバリアントを網羅的に解析することで遺伝子診断の迅速化を実現

    臨床的意義不明なバリアントを網羅的に解析することで遺伝子診断の迅速化を実現

    学校法人近畿大学

    2023年4月25日 14:00
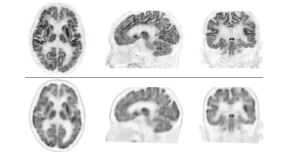
    高分解能PET装置で従来よりも高画質な画像を撮像 正確な診断が可能となり、認知症の早期治療への貢献に期待
    高分解能PET装置で従来よりも高画質な画像を撮像 正確な診断が可能となり、認知症の早期治療への貢献に期待

    高分解能PET装置で従来よりも高画質な画像を撮像 正確な診断が可能となり、認知症の早期治療への貢献に期待

    学校法人近畿大学

    2023年1月6日 14:30
    1

    プレスリリース配信

    • トップ
    • サービス・料金
    • 配信先メディア
    • パートナーメディア
    • 記事掲載数ランキング
    • 広報お役立ちコンテンツ

    サポート

    • 無料会員登録
    • ログイン
    • パスワード再設定
    • お問い合わせ
    • よくあるご質問
    • お知らせ
    • プレスリリース受取申込
    • 無料プレスリリース相談会
    • セミナー

    関連サービス

    • クリッピングサービス @クリッピング
    • 総合メディアリスニングツール ClipMaster
    • インフルエンサーPR Find Model
    • インフルエンサーPR・タレントマネジメント iHack
    • インフルエンサーマッチングプラットフォーム Find Model Circle
    • 反社チェックサービス RISK EYES
    FacebookTwitterInstagram
    • 運営会社
    • パートナープログラム
    • 利用規約
    • プライバシーポリシー
    • 資金決済法に基づく表示

    Copyright 2001-2026 SOCIALWIRE CO.,LTD. All rights reserved.

    • 運営会社• パートナープログラム• 利用規約• プライバシーポリシー• 資金決済法に基づく表示
    FacebookTwitterInstagram

    Copyright 2001-2026
    SOCIALWIRE CO.,LTD. All rights reserved.