世界で初めて宇宙でのX線撮影に成功した実機を、限定公開 ミカサエックスレイ、「国際医用画像総合展(ITEM 2026)」に出展
~創業100年超。世界90カ国で信頼を積み重ねた、 日本発ポータブルX線装置の現在地~
ポータブルX線装置の専業メーカー、ミカサエックスレイ株式会社(本社:神奈川県横浜市南区白妙町二丁目7番地2、代表取締役:品川 修二)は、2026年4月17日(金)から19日(日)までパシフィコ横浜にて開催される「国際医用画像総合展(ITEM 2026)」に出展いたします。
本展示では、2025年に宇宙空間での世界初のX線撮影を達成したポータブルX線装置の実機を米国より借用し、本展示会限定で国内初公開いたします。創業100年超の歴史と、世界90カ国での実績を持つ当社が、ポータブルX線装置の「過去・現在・未来」を一挙にご覧いただける展示をご用意いたします。

スペースX社の民間宇宙船「クルードラゴン」に乗った実機

宇宙へ行った実機には「SPACEX FLOWN」のシール

展示イメージ
■展示ハイライト
1. 世界で初めて宇宙でのX線撮影に成功した実機を、国内初公開
2025年4月、スペースX社の民間宇宙船「クルードラゴン」において、当社のポータブルX線装置が宇宙空間における世界初のX線撮影に成功しました。過酷な環境下での堅牢性・信頼性を世界的に認められてきた当社の技術が、医療機器の歴史に新たな1ページを刻んだ瞬間です。
今回、その歴史的な実機を米国から特別に借用し、ITEM 2026の会期中のみ国内で初公開いたします。実際の宇宙撮影画像をはじめとする関連資料もブースにてご覧いただけます。
2. 主力モデル「TRB 9020H」体験展示
小型・軽量でありながら、高画質と高耐久性を両立した最新モデルの実機を、実際にお手に取ってご覧いただけます。臨床現場での運用を想定した操作感・携行性をぜひご体験ください。
※安全確保のためX線照射はできません。
3. 創業から100年超のグローバル展開の歩み
1946年の販売開始以来、当社のポータブルX線装置は世界90カ国で累計50,000台超の納入実績があります。結核終息を目指す国際的なパートナーシップ「Stop TB Partnership」(2001年にWHO主導で設立、現在はUNOPSが運営)への年間約800台の継続納入など、世界中の医療現場から選ばれ続けてきた背景と実績を、わかりやすくご紹介します。
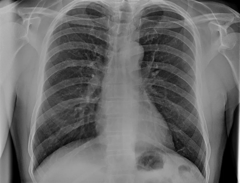
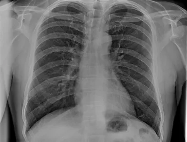
4. 高精細画像技術の展示
最大1.3kWの高出力に加え、最新のノイズ低減技術との融合により実現した高精細な画像描写をご覧いただけます。診断精度の向上に直結する画像品質の進化を、実際の撮影画像でご確認ください。

TRB 9020Hで撮影した胸部レントゲン写真
※90 kV HP mode, 1.65 mAs, 0.06 sec

TRB 9020Hで撮影した大腿骨レントゲン写真
※84 kV HP mode 1.8 mAs, 0.12 sec Exposure Index: 367
5. プレゼンテーション・説明コーナー
ブース内は開発の歴史から最新技術、将来の展開領域まで、時系列で体系的に理解いただける構成としています。担当者による説明・プレゼンテーションも随時実施しており、製品仕様・臨床応用・導入事例など、専門的なご質問にも個別に対応いたします。専門知識をお持ちでない方にもわかりやすくご説明いたしますので、お気軽にお立ち寄りください。
■出展概要
・展示会名 :国際医用画像総合展(ITEM 2026)
・会期 :2026年4月17日(金)~4月19日(日)
・会場 :パシフィコ横浜
・当社ブース番号:C4-09
■ポータブルX線装置とは
ポータブルX線装置は、病院のX線室に設置される大型装置とは異なり、持ち運びが可能な小型・軽量のX線撮影装置です。移動が困難な患者の訪問診療、医療インフラが十分に整備されていない過疎地域、さらには紛争地・災害現場まで、あらゆる環境で迅速な画像診断を可能にします。
■ミカサエックスレイ株式会社について
1923年創業。戦後の結核流行期に業界に先駆けてポータブルX線装置を開発し、1946年より販売を開始。1952年には海外展開に着手し、現在では世界90カ国・累積50,000台超の納入実績を持ちます。2021年からは「Stop TB Partnership」に採用され、毎年約800台を継続的に納入しています。
所在地 : 神奈川県横浜市南区白妙町二丁目7番地2
代表者 : 代表取締役 品川 修二
事業内容 : 医療用・動物用ポータブルX線装置等の製造・販売
企業サイト: https://www.mikasax-ray.com/

















