大正製薬株式会社[本社:東京都豊島区 社長:上原 茂](以下、当社)は、学習院大学:柳茂教授と共同で、ミトコンドリアに存在する酵素「MITOL」(読み方:マイトル)と、肌老化のメカニズムの関係を解明する研究を行ってまいりました。その結果、下記のような世界初の研究成果を見出し、「The 31st IFSCC Congress 2020 YOKOHAMA 」(国際化粧品技術者会連盟学術大会)にて発表しました。
<主な研究成果>
・エイジングに伴いMITOLが減少する
・MITOL減少が表皮形成異常を引き起こす
・MITOL減少がミトコンドリアネットワーク崩壊、ミトコンドリア機能低下を引き起こす

MITOL量の減少に伴う老化メカニズムイメージ
エイジングに伴うMITOL減少を防ぐことで、ミトコンドリアネットワーク形成を促し、ミトコンドリア機能と細胞機能が維持され、ハリと透明感に満ちた躍動感あふれる肌を維持することが期待できます。当社はMITOLを細胞の若返りの鍵と考え、今後もMITOL研究を継続していきます。
さらに、今回の研究成果から明らかになったMITOLによるミトコンドリア機能の維持に着目し、エイジングケア商品の開発に応用してまいります。
ミトコンドリアは生命活動に必要なエネルギーを合成する細胞小器官です。近年、ミトコンドリアの様々な機能が見出され、ミトコンドリア機能異常が老化や様々な疾患の病態と関連することが明らかになりつつあります。
【研究発表内容】
■肌老化へのMITOLの関与
~エイジングによるMITOL減少が原因となり肌老化に~
MITOLは細胞のエネルギーを生み出すミトコンドリアに存在する酵素で、2006年に柳教授(学習院大学)が発見しました。MITOLはミトコンドリアの働きに深く関わり、アルツハイマー病や心疾患などへの関与が明らかになっています。しかし、肌におけるMITOLの役割はわかっていませんでした。
そこでまず、肌の透明感やうるおいに重要な表皮形成に及ぼすMITOLの影響を検討しました。その結果、老化した細胞ではMITOL量が明らかに減少していることがわかりました(図1)。また、MITOLを減少させる処置を施した肌細胞から表皮構造を形成させると、老化した肌でも認められるような厚く粗い構造となっていることが確認されました(図2)。これらのことから、老化によってMITOLが減少し、表皮形成異常が生じている可能性が示唆されました。

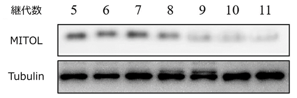
図1.老化した細胞におけるMITOL発現の減少
肌細胞の継代を繰り返し、細胞の老化を誘導し、MITOLタンパク発現量を評価した。継代数が増えるに従って、MITOLタンパク発現量(黒色バンド)の減少が確認された。
Tublin:内在性コントロール(発現量が一定で普遍的に存在するタンパク質)として一般的に使用される。

図2.MITOLが減少した表皮の厚く粗い構造
MITOLが減少した細胞から表皮構造を形成させ、顕微鏡で観察した。正常時(コントロール表皮)と比較し、MITOL減少表皮では厚く粗い構造となっていることが確認された。
■MITOL減少による肌老化のメカニズム
~ミトコンドリア機能低下とミトコンドリアダイナミクス~
細胞の中には「ミトコンドリア」という細胞内小器官が存在しています。ミトコンドリアは体重の10%を占めるといわれ、また細胞の活動に必要なエネルギーの大部分を生み出しているため、ミトコンドリアの働きは非常に重要です。しかし、ミトコンドリアからは、エネルギー産生の副産物である有害な「活性酸素」が同時に発生します。通常、活性酸素は細胞に備わっている抗酸化機能の働きにより除去されますが、活性酸素によるダメージがミトコンドリアに蓄積すると、ミトコンドリア機能が低下(エネルギー産生効率低下・活性酸素増加)していきます(図3)。

図3.活性酸素によるミトコンドリア機能低下
ミトコンドリアはエネルギーを生み出す一方で、有害な活性酸素も同時に発生する。活性酸素によるダメージはミトコンドリアに蓄積し、ミトコンドリア機能が低下する。
また、ミトコンドリアは細胞内において常に動きまわり、様々な形態変化をおこしています。これは「ミトコンドリアダイナミクス」と呼ばれ、ミトコンドリアや細胞の様々な機能と深く関わることが明らかになってきています。例えば、健全なミトコンドリアは相互にネットワーク状となり、エネルギー産生効率や細胞活性を高めますが、ネットワークが形成できないとエネルギー産生が低下し有害な活性酸素が増えると報告されています。
MITOLはミトコンドリアダイナミクスを制御することが報告されていることから、MITOL減少による肌の老化メカニズムを解明するために、ミトコンドリアダイナミクスおよびミトコンドリア機能を評価する実験を行いました。
~MITOLが減少した肌細胞ではミトコンドリア機能が低下~
まず、肌細胞のミトコンドリアの状態を顕微鏡で観察しました。肌細胞のMITOLが失われた状態を作った結果、ミトコンドリアネットワークがバラバラにちぎれること(断片化)が確認されました(図4)。さらに、MITOLが失われたことによって活性酸素種量の増加も確認されました(図5)。これらのことから、MITOLが減少した肌細胞ではミトコンドリアダイナミクスの破綻とミトコンドリアの機能低下が引き起こされていることが確認されました。

図4.MITOLが減少した細胞のミトコンドリア断片化
肌細胞のミトコンドリアを緑色に染色し、顕微鏡で観察した。正常時(コントロール細胞)ではミトコンドリアが融合し紐状に繋がっている様子が確認されるが、MITOL減少細胞ではミトコンドリアが断片化しネットワークが失われている様子が観察された。

図5.MITOLが減少した細胞の活性酸素種産生量の上昇
MITOLが減少した細胞の活性酸素種量を評価した。正常時(コントロール細胞)と比較し、MITOL減少細胞では活性酸素種産生量の上昇が確認された。
■MITOL減少が乾燥肌、シミ、シワの形成にも影響か?
我々の見出した結果から、老化によるMITOL減少を引き金として、ミトコンドリアネットワークの崩壊が引き起こされ、それに続いてミトコンドリア機能の低下、細胞機能の低下、表皮形成異常が生じる可能性が示唆されました。また、MITOLが減少した細胞において、シミに関わるPAR2遺伝子やシワに関わるCOL1A1遺伝子の発現量の変動も確認されています。つまり、老化によるMITOL減少が乾燥、シミ、シワに繋がる可能性が考えられました。
■ミトコンドリア機能維持に着目したエイジングケア商品開発へ
我々は「MITOL」を細胞の若返りの鍵であると考えています。今後も継続的にMITOL研究を続け、その成果をミトコンドリア機能維持に着目したエイジングケア商品の開発に応用していきます。
























