「免疫チェックポイント阻害剤」に関するプレスリリース


免疫チェックポイント阻害剤市場:適応症別、作用機序別、エンドユーザー別、投与経路別-2025-2032年世界予測
株式会社グローバルインフォメーション
2026年1月22日 16:08


世界のMHC-ペプチド テトラマー市場分析:最新動向、成長機会、未来予測2026
LP Information
2026年1月19日 17:28


腹膜転移型胃がんに治療効果を示すmRNAワクチンを開発 免疫チェックポイント阻害剤と併用する治療法の確立に期待
学校法人近畿大学
2025年8月1日 16:30


肝動脈化学塞栓療法と薬剤2種の併用で肝細胞がんへの治療効果が向上 レンバチニブとペムブロリズマブ併用による肝細胞がんの完治に期待
学校法人近畿大学
2025年1月9日 08:30


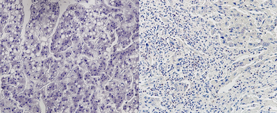
あらゆる固形がんを8種に分類するプログラムを開発 がん治療薬である免疫チェックポイント阻害剤の効果を事前予測
学校法人近畿大学
2022年7月22日 23:00


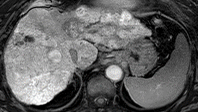
肝細胞がん免疫療法の効果を予測する画像バイオマーカーを発見 免疫療法の効果がない患者に対するMRI診断の有効性を証明
学校法人近畿大学
2021年8月19日 21:00


世界初!免疫チェックポイント阻害剤の有効性を事前予測 個々の患者に適した肝がん薬物治療法の確立に期待
学校法人近畿大学
2021年6月10日 14:00


世界初! 肝機能不良の進行肝細胞がん患者に対する 免疫チェックポイント阻害剤「オプジーボ」の有効性・安全性を証明
学校法人近畿大学
2021年5月27日 09:00
1