歯ぐきの隙間を埋めて美しい口元を演出する人工歯肉 「スキマスク(R)」をホワイトアクアデンタルが開発 健康的で美しい歯ぐきを手軽に実現
サービス
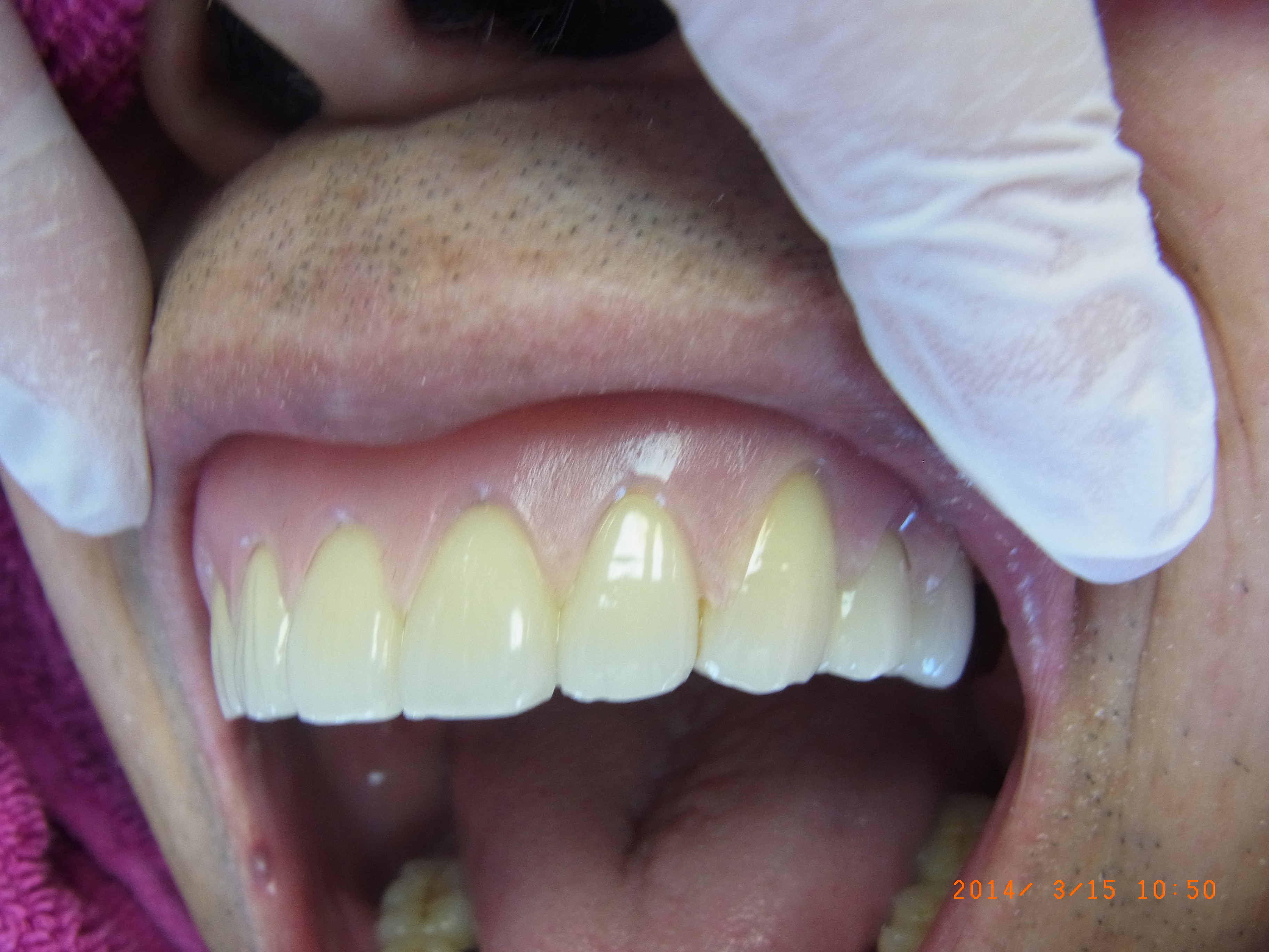
2014年3月27日 11:00ホワイトアクアデンタル(所在地:神奈川県横浜市、院長:藤倉 純子)では、歯ぐきの隙間を埋めて口元を美しくみせる歯肉補綴具「スキマスク(R)」を開発いたしました。以来、モニターによる施術を重ね、この度、一般の受付を開始しました。
「スキマスク(R)」イメージ「スキマスク(R)」詳細
http://sukimask.jimdo.com/
■歯ぐきの隙間に「スキマスク(R)」 開発の背景
「スキマスク(R)」を装着することによって、歯ぐきが痩せてできた見た目の不具合を、自然にカバーし、隠します。
口元の美しさが注目されてきている昨今、歯並びを治す事やホワイトニングは一般的になりましたが、歯ぐきとの調和によるトータルな美しさが欠けていると不自然になり、美しく見えづらい事があります。
特に、前歯の治療を受けた方や、歯周病により歯ぐきが痩せ歯根が露出している方にとって、歯ぐきと歯の隙間によってできる黒い影、歯肉のラインが左右非対象でガタガタ、抜歯による骨の凹み、歯ぐきの全体的な黒ずみなどは、審美的な悩みです。しかし、歯科医院で相談をしても「治療法がない」「諦めるしかない」と言われてしまう事が殆どでした。
そこで、より自然に見える口元へ改善することを目的に「スキマスク(R)」を開発しました。2014年1月31日に歯肉補綴具として意匠登録後、モニター施術を重ね、この度一般公開する運びになりました。
■「スキマスク(R)」の特長
欧米人に比べてアジア人の歯肉は特徴的な赤い色をしていますが、「スキマスク(R)」を装着することにより、健康的なうすいピンク色に見え、ホワイトニングや審美歯科治療をした歯を映えさせます。
着脱式で自分の好きな時に取り外しが自らできるので、頭髪にはカツラ、瞳にはカラーコンタクトレンズ、歯ぐきには「スキマスク(R)」のように、簡単に口元のイメージアップを図ることができます。
取り外しはできますが装着すると外れにくく、会話もでき、間近でみても自然な仕上がりになるので、動画の撮影や、カラオケ、食事会、演説などに向いています。これからの口元のイメージアップの一つの方法としてニーズの広がりが予想されます。
■製品概要
製品名 : スキマスク(R)
意匠登録日 : 2014年1月31日
実施医療機関: ホワイトアクアデンタル
価格 : 一顎(上か下)につき1装置 150,000円(税別)
※カウンセリング~お渡しまでのトータル。
※保険対象外
製品詳細URL : http://sukimask.jimdo.com/
■実施医療機関概要
屋号 : ホワイトアクアデンタル
院長 : 藤倉 純子
所在地: 横浜市西区北幸1-1-8 エキニア横浜8F
URL : http://white-aqua-dental.jimdo.com/

















