マトリクス、青森産業技術センター工業総合研究所と共同で 全自動顕微鏡Diamanteの開発に成功 受注を開始
~開発予定のアプリケーションを使用することでAI顕微鏡に進化~
マトリクス株式会社は、地方独立行政法人 青森県産業技術センター工業総合研究所と共同で、従来の光学顕微鏡を進化させた全自動顕微鏡(名称:Diamante(ディアマンテ))の開発に成功。2022年12月12日より受注開始いたします。発売金額は150万円(税別)です。

全体像
【概要】
この全自動顕微鏡Diamanteは最新のAI対応コンピューターを内蔵しており、今後開発予定のアプリケーションをインストールすることでAI顕微鏡に進化させる事が出来る仕組みとなっています。
これにより顕微鏡業務の円滑化や観察のDX対応、遠隔医療など手軽に幅広く活用することが可能となります。
また、世界中で開発されている病理診断向けAIの開発において、その画像の入力デバイスとして活用することも可能です。
教育現場や、顕微鏡における診断を担っている現場などで、手軽に使用できる自動化顕微鏡として、活用が可能です。
また、今まで高額すぎてデジタル化を諦めていたあらゆる顕微鏡ユーザーにとって、顕微鏡と同じ値段で購入できる自動化顕微鏡は画期的です。
【主な特長】
■圧倒的な低価格を実現
今まで、顕微鏡に電動ステージとカメラを組み合わせた自動化顕微鏡はあったものの、価格が800万円以上していたのに対し、オールインワン型で150万円という低価格を実現いたしました。
3Dプリンターとシングルボードコンピューター(ラズベリーパイまたはJetson nano及びArduino)を複数使用することで、高性能かつ大幅なコストダウンに成功しました。
■アプリ次第でスライドスキャナーにもなる
標本まるごとデジタル化するスキャナーであるWSI(Whole Slide Imaging)という医療機器は一般的に1,000万円程度しますが、Diamanteに開発予定のスキャナーアプリをインストールすると、低価格でスキャナーが使用できます。
■SONY製4Kカメラを標準搭載
Diamanteは低価格でも、画像にこだわり、SONY製の4Kカメラを2台搭載しています。顕微鏡で高解像な4Kカメラを搭載している実例はまだまだ少ないですが、当社では今まで培ってきた光学技術により、圧倒的高画質を実現しました。
■AIの開発現場にマッチするデバイス
現在、様々な企業や機関が診断の為のAIを開発しています。しかし、その画像を取得するデバイスはWSIしかありませんでした。Diamanteはオープンソース化(予定)により、そのような開発企業が簡単にDiamanteを制御し、画像を取得できるデバイスを提供いたします。
■難しいナノレベルの顕微鏡技術を、より手軽に。
顕微鏡技術というのは、一見非常に簡単な技術のように思われますが、実際にはナノレベルでの制御を必要とする非常に難しい技術で、その上さらに高精度に高速に稼働させます。
当社では安価で且つ高性能な自動化顕微鏡の開発に着手し、青森県産業技術センター工業総合研究所と共同で、装置開発を行って参りました。
■理科離れを食い止める
この全自動顕微鏡Diamanteの登場により、理科教育のデジタル化の領域もターゲットとなり、学校教育現場でデジタル化された顕微鏡ロボットとしての活躍にも期待できます。生物顕微鏡を使うあらゆる現場でDX化を実現できます。
【使用用途】
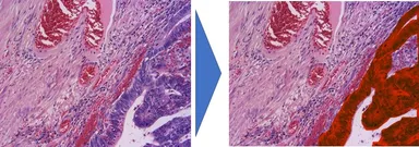
(1)AIでの画像解析の入力ツールとして
昨今、世界的に、顕微鏡画像(病理標本)をAIで解析する研究が行われております。この解析に必要な画像取得装置は、WSI(Whole Slide Imaging:標本のスキャナー)しか選択肢がありませんでした。
しかしながらこのWSIは非常に高価な上に、病理標本のみ対応で、深さ方向に情報量がある細胞診標本や、感染症診断などに用いる標本には不向きでした。
Diamanteは、顕微鏡と同じ仕組みを利用しているため、これら、顕微鏡で観察していたすべての標本をデジタル化することが出来、いままでデジタル化やAI化が難しかった領域まで、対応させることが可能となります。
(2)遠隔医療(遠隔病理診断)のツールとして
Diamanteは、遠隔で操作することが可能です。そのため、遠隔地からDiamanteを操作し診断をする遠隔病理診断などにすぐに対応することが出来ます。
これにより離島などの病理医が不足している地域で、高度な医療を受けることが可能になります。
(3)カンファレンスツールや教育現場でのツールとして
顕微鏡画像を用いたカンファレンスなどにおいて、手持ちの標本をセットして、大画面で閲覧と操作することが可能です。顕微鏡で操作するよりも高速で且つクリアーな画像を表示できます。
また、理科教育などにおいて、顕微鏡を大量に使用した演習や実験を大幅に効率化することが出来ることと、デジタル化する事によるネットワーク閲覧なども対応出来、より効率の良い教育ツールとして対応可能です。
【新しい技術】
(1)AI予測フォーカス搭載
顕微鏡観察時、視野を移動すると、必ずフォーカスがぼけるという現象がありました。これは、機械の工作精度よりもフォーカス精度が厳しい顕微鏡ゆえの現象で、いままでは回避する方法がありませんでした。
Diamanteでは、あらかじめ、機械精度を学習し、また、各施設ごとに違う標本の作り方の癖などを合わせて学習することで、視野を移動してもフォーカスがずれにくい画期的な方法を実装しました。
(2)AIで観察者の動作を学習(開発中)
顕微鏡操作において、最初に全体像を把握し、そこから倍率を上げて視野を狭くする方法で観察します。この観察手法は、観察者によっても違いますし、対象物によっても違います。
Diamanteは、この観察動作を学習しその観察者がいつもどのように観察するのかを自動的に解析することにより、新しい標本がセットされたときに、観察者の意図した画像を事前に提示できるようになります。
ショッピングサイトのように、その観察者の観察したい場所をAIが提示することによって更に効率的に観察を進めて行くことが可能です。
※この機能は現在開発中で、リリースは23年末頃を予定しています。
(3)Diamanteを意図的に動かすことが出来る
Diamanteの制御ソフトウェアは、ライブラリ化され購入者が意図した動きをさせる事が出来ます。
これにより、全世界のAIアプリケーションを開発している研究施設や企業が、その入力ツールとして、ソフトウェアを開発でき、Diamanteを使用することが出来るようになります。
【価格と納期について】
昨今の物価上昇により、2023年3月以降は10%程度の値上げを予定しています。150万円という定価は、2023年3月末までの納品に対する価格です。
また、半導体不足による影響はありますが、納期は受注後2ヶ月で対応可能です。
【会社概要】
商号 : マトリクス株式会社
代表者 : 代表取締役社長 高松 輝賢(たかまつ てるまさ)
所在地 : 青森県弘前市早稲田2-8-9
設立 : 2015年12月
事業内容: 医療系コンサルティング 感染対策製品の開発
医療系機器の試作開発
URL : http://www.matrix55.jp/





























