「農学研究科」に関するプレスリリース


世界初! 新しいウイルス抵抗性遺伝子をナスから特定 世界中の農作物のウイルス病被害低減に繋がる成果
学校法人近畿大学
2026年1月8日 14:00


温暖化による生物の分布拡大が在来種に及ぼす影響を評価 トンボをモデルに温度上昇で在来種の採餌量が減少することを解明
学校法人近畿大学
2023年12月6日 13:00


トウガラシ果実の香りを決める遺伝子を特定 フルーティーでエキゾチックな香りを持つ果実の品種育成に期待
学校法人近畿大学
2023年9月1日 17:00


高温によりトマト黄化葉巻病への抵抗性が崩壊することを発見 国内のウイルス抵抗性品種が夏場に発病する要因を解明
学校法人近畿大学
2023年6月28日 14:00


腹部大動脈瘤の発症を抑制し、縮小させる成分を発見 手術するしかなかった腹部大動脈瘤に、治療薬創出の可能性を示唆
学校法人近畿大学
2023年2月3日 14:00


日本で発生事例のないベゴモウイルスを沖縄のトマトで特定 日本各地のトマト産地における海外からのウイルス侵入に警鐘
学校法人近畿大学
2022年11月2日 10:00


イネが病原菌の感染力の源を検出して免疫を誘導する仕組みを解明 病気に強い植物の開発に期待
学校法人近畿大学
2022年9月5日 14:00


ベゴモウイルス抵抗性によりトウガラシの生産量が倍増 生産現場でのウイルス病被害の低減に期待
学校法人近畿大学
2022年8月30日 12:00


様々ながん細胞株を培養可能な無血清培地を開発 抗がん剤開発や食肉代替品の「培養肉」生産につながる研究成果
学校法人近畿大学
2022年7月20日 15:00


イネの成長と免疫のエネルギーバランスを調整する仕組みを解明 病気に強いイネの開発に期待
学校法人近畿大学
2022年5月16日 18:00


トウガラシのベゴモウイルス抵抗性に関わる遺伝子領域を特定 農作物のウイルス病被害と農薬過剰投与の低減に期待
学校法人近畿大学
2022年2月1日 14:00


ハナショウガの主成分を酸で反応させ、生成物と反応経路を解明 将来的に新たな医薬品の開発につながる可能性
学校法人近畿大学
2021年11月30日 15:00


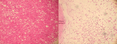
脂肪分と糖分の過剰摂取では血管異常の発生部位が異なることを発見 新たな血管疾患予防法の開発に期待
学校法人近畿大学
2021年9月14日 11:00


野生ミナミハンドウイルカの斑点模様の年齢や雌雄による違いを発見 生体を傷つけない年齢推定法の開発につながる世界初の研究成果
学校法人近畿大学
2021年7月5日 15:00


野生ミナミハンドウイルカの餌生物と採餌行動を水中観察で確認 準絶滅危惧種の生態解明と保全につながる国内初の研究成果
学校法人近畿大学
2020年11月13日 14:00
1