プレスリリース/ニュースリリース配信サービスのアットプレス
プレスリリースを配信
プレスリリースを受信
ログイン/会員登録
新着
エンタメ
グルメ
旅行
ファッション・美容
ライフスタイル
スポーツ
ビジネス
テック
モバイル
乗り物
クラファン
トップ
津谷康大に関するプレスリリース
「津谷康大」に関するプレスリリース
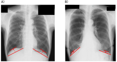
肺がん患者の手術前の横隔膜の位置と予後の関連性を検証 手術のリスク評価や治療戦略立案への貢献が期待される研究成果
学校法人近畿大学
2026年4月22日 14:00
1
「津谷康大」に関するプレスリリースの一覧