春は海外赴任や長期滞在が増える時期である。
渡航準備の中で後回しになりやすいのが歯科治療だが、
治療途中のまま海外へ移動することが、現地での大きな負担につながるケースもある。
海外で困りやすいのは「途中段階の治療」
海外在住者から多く聞かれるのは、
・仮歯のまま渡航し、外れてしまった
・根管治療(歯の神経の治療)の途中で中断した
・仮のつめ物のまま数か月経過してしまった
・現地で再治療となり高額になった
といった事例である。
国によって治療方針や保険制度は異なり、
日本での治療の「続き」がそのまま受けられるとは限らない。
2014年から続けてきた“短期集中治療”の臨床経験
2014年より、通院回数を最小限に抑える短期集中治療に取り組んできた中で、
海外赴任予定者や一時帰国中の患者からの相談も数多く経験してきた。
限られた滞在期間の中で治療を進めるには、
単に処置を急ぐのではなく、
「どこまでを完結とするのか」を明確にした設計が不可欠である。
治療の順序、処置間隔、補綴(かぶせ物)装着までの流れを逆算し、
渡航後に不安を残さない状態を目指す。
こうした積み重ねの中で、
海外移動を前提とした治療計画に関する知見が蓄積されてきた。
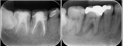
根管治療は“回数”より“設計”が重要
根管治療は、従来複数回の通院が必要とされることが多い。
しかし診断精度や設備、治療計画によっては、
症例に応じて比較的少ない通院回数で完結するケースもある。
重要なのは、
・感染状態の正確な評価
・マイクロスコープ下での精密処置
・治療後の被せ物までを含めた計画立案
である。
単に回数を減らすことではなく、
神経治療から補綴までを一連の流れとして設計することが、
渡航前治療では特に求められる。

渡航前に確認しておきたい3つのポイント
1.根管治療や補綴治療が途中段階になっていないか
2.仮歯・仮封の状態で終了予定になっていないか
3.被せ物装着後の安定期間が確保できるか
これらを事前に整理することで、
海外生活中の医療リスクを軽減できる可能性がある。
さらに、根管治療が途中、もしくは治っていないで放置してしまった場合は、将来の抜歯のリスクが高くなってしまいますので注意が必要である。
海外移動を前提とした歯科治療という考え方
近年、海外在住者や赴任予定者から
「一時帰国中にどこまで治療を完結できるか」という相談が増えている。
移動を前提とする医療では、
通常とは異なる視点での治療設計が求められる。
単に“早く終わらせる”のではなく、
“どの状態で渡航するのが安全か”を逆算すること。
この視点が、今後ますます重要になると考えられる。
短期集中治療の神谷町デンタルクリニックでは、渡航者ご本人だけではなく、会社の人事からのご相談も受け付けております。海外転勤が決まった時点でご連絡いただけましたら、歯科的チェック、必要な歯科治療の後、現地で急に痛くなったりしないためのセルフケアのご案内も行っております。




























