3Dプリンター使用で画期的な犬の整形手術を成功 ~困難な変形矯正手術の正確かつ大幅な時間短縮を実現~
企業動向
2014年12月8日 10:00藤井動物病院(所在地:神奈川県横浜市、院長:藤井 康一)と、整形外科専門獣医師グループのONE for Animals(ワンフォーアニマル)が共同で、従来、一回の手術では元に戻すことが極めて難しかった特殊な整形外科症例を、3Dプリンターモデル(以下 3Dモデル)を使用し、模擬手術を実施することで、大幅な時間短縮をもって成功させることができました。同時にこの症例は、2014年の日本小動物獣医学会(関東・東京)の地区学会長賞も受賞したことを報告いたします。
藤井動物病院 URL
http://www.fujii-vet.com
地区学会長賞 賞状
http://www.atpress.ne.jp/releases/54567/img_54567_1.jpg
【成功の背景】
従来は、前腕に重度変形が生じた場合には骨切り変形矯正が必要となり、変形点が単純な場合、比較的容易に矯正が可能でした。しかし実際は、変形点が複数あり、変形中心が骨軸上に存在せず矯正が困難という場合がありました。
また、1本の骨切りでの矯正では、橈骨(とうこつ)接合面が少なく、矯正後の固定破綻や矯正不良が生じる可能性がありました。
今回の試みでは、3Dモデルをもとに変形矯正手術を実施しました。3Dモデルを使い術前計画と模擬手術を行い、手術をすることで今まで矯正が困難で矯正不良などの術後合併症が生じやすかった「変形点が複数ある前腕の矯正手術」を正確に実施できました。従来行われていた、術者の主観に頼る手術と異なり、正確に矯正を行うことが可能で、変形矯正の困難な症例を正確かつ大幅な時間短縮をもって成功させることができました。
【3Dモデルを使ったことでの有用点】
・模擬手術で、骨切りラインやプレートの設置部位などを実物大のモデルで確認できる。
・3Dモデルに合わせ、術中の骨切りが可能。また、術前に矯正後の骨に適合するプレート設計が可能で、本手術において計画通りの矯正が行いやすい。
・3Dモデルでの模擬手術は従来に比べ、より具体的に本手術に近い形で模擬手術が可能になり、本手術での手順などチーム内での共通認識が深まり、スムーズに本手術ができる。
【今回の具体的な症例】
犬種:イタリアン・グレーハウンド
体重:4.6kg
年 :1歳
備考:避妊雌
<症状>
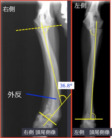
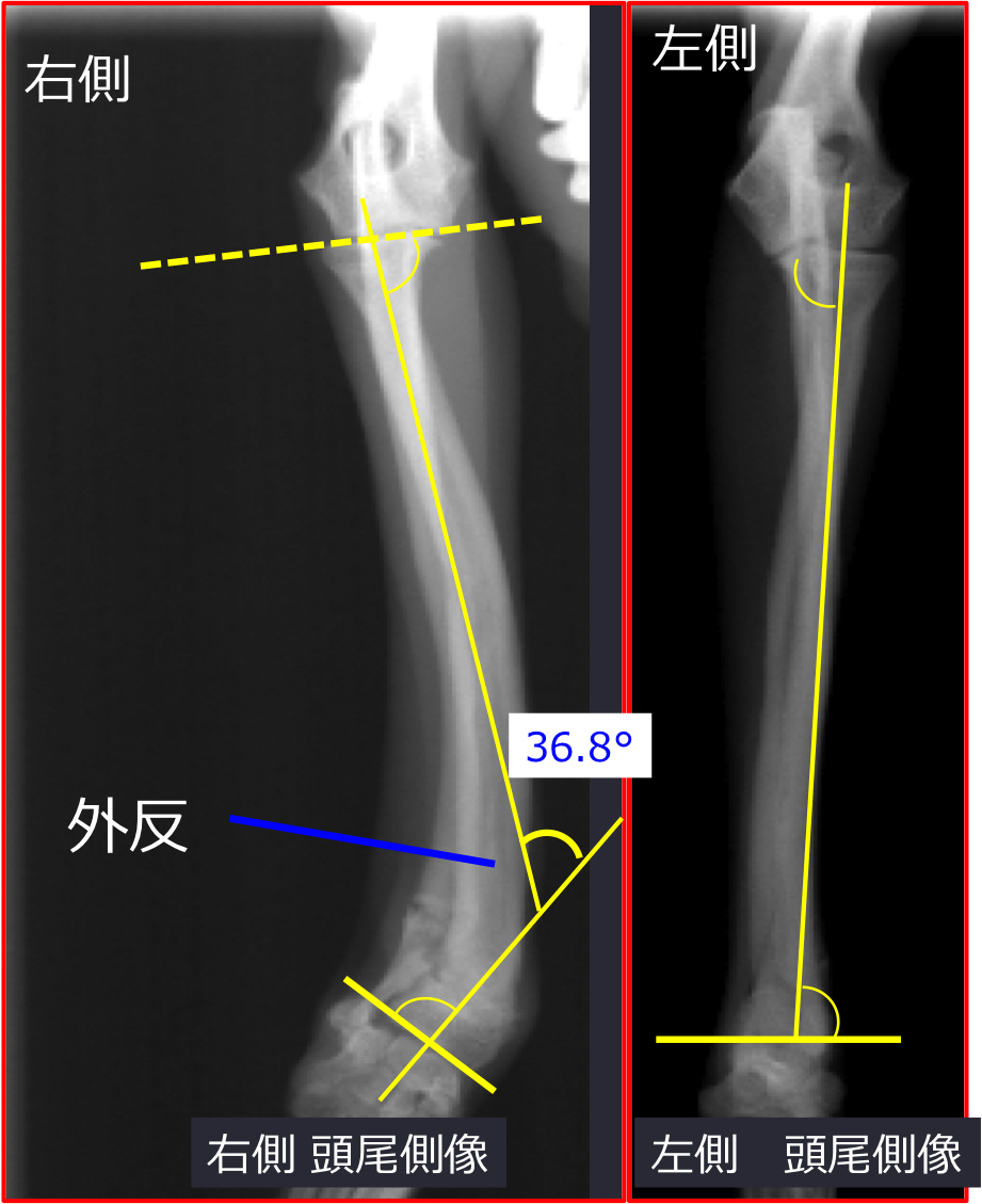
3ヶ月齢で右側橈尺骨(前足の手首の上の骨2本)骨折を受傷。
・もともと足の長い犬種で曲がりが強くなり、歩くことが困難かつ痛みがでてきた。骨の成長が終了した後に手術を実施。
・前足は、横方向に36.8°外側へ向き(外反変形)、前後方向に10.2°手前に曲がっていた(前屈変形)。
術前X線画像1
http://www.atpress.ne.jp/releases/54567/img_54567_2.jpg
術前X線画像2
http://www.atpress.ne.jp/releases/54567/img_54567_3.jpg
<3Dプリンターモデル作成>
・CT撮影したものを3次元の画像にした後、3Dプリンターで実物大の骨の模型をつくる。
・コンピューター画面上で設定した骨切り位置を実物大の3Dモデルにて確認し設定した角度に骨切りを2方向行う。
3Dプリンターモデル
http://www.atpress.ne.jp/releases/54567/img_54567_4.jpg
<模擬手術>
1. 変形矯正を計画
・側面像(矯正前26.8°を17.6°へ)
・正面像にて(矯正前36.8°を3.5°へ)
http://www.atpress.ne.jp/releases/54567/img_54567_5.jpg
2. T字ロッキングプレートにて骨切り部の固定が良好に実施できることを確認
http://www.atpress.ne.jp/releases/54567/img_54567_6.jpg
<本手術>
・実骨切り時には模擬手術で使用した3Dプリンターモデルで骨切り線を確認しながら実施。
・模擬手術にて形状設定したプレートを使用しプレートに合わせ骨切り部の固定実施。(模型もインプラントも手術時には滅菌済)
・手術時間は切皮よりプレート固定まで40分(消毒・縫合時間を除く)
<術後8週 歩様>
・外観での右側前肢の外反も改善しており、歩様良好。
術前と術後の比較
http://www.atpress.ne.jp/releases/54567/img_54567_7.jpg
・骨切り部の良好な癒合所見。インプラントに異常は認められない。
術後8週間後 画像
http://www.atpress.ne.jp/releases/54567/img_54567_8.jpg
【会社概要】
名称 : 株式会社藤井動物病院
設立 : 1954年9月
所在地: 〒222-0011 神奈川県横浜市港北区菊名1-14-11
院長 : 藤井 康一
URL : http://fujii-vet.com/


















