世界初の抗菌・除菌メカニズム 多剤耐性菌にも効果を発揮する「抗菌・除菌剤用高分子コロイド」販売開始 - 細菌の細胞壁の成長を阻害し、細菌を自己融解させる -
技術・開発
2014年8月21日 11:00 三井化学ファイン株式会社(所在地:東京都中央区、代表取締役社長:木岡 護)は、世界中に感染が広がる抗生物質が効かない多剤耐性菌にも抗菌・除菌効果を発揮する高分子コロイドの販売を開始します。多剤耐性菌による医療関連感染リスクが高まっている医療現場や介護の現場、児童施設や公共機関などに対する効果的な感染防止対策として、高分子コロイドを用いた抗菌・除菌スプレーやウエットティッシュ、衛生衣服などの製品開発をお客様と共に進めて参ります。
細菌を自己融解へ導く仕組み世界保健機構(WHO)の報告(※1)にある通り、世界中で抗生物質が効かない多剤耐性菌(メチシリン耐性黄色ブドウ球菌、バンコマイシン耐性腸球菌など)の拡大が顕著となっており、大きな社会問題となっています。本高分子コロイドは、城武 昇一氏(元横浜市立大学大学院 医学研究科 客員教授、現高知大学 医学部 特任教授)が、細菌の構造と増殖過程に着目して開発したもので、黄色ブドウ球菌や大腸菌などの細菌に加え、多剤耐性菌に対しても抗菌活性を有します。製品の形態は、粒径数百ナノメートル程度の高分子コロイドを水で安定的に分散させたものです。
※1 WHO’s first global report on antibiotic resistance reveals serious and worldwide threat to public health(2014年4月30日)
( http://www.who.int/mediacentre/news/releases/2014/amr-report/en/ )
■世界初の抗菌・除菌メカニズム
高分子コロイド【写真1】が細菌の細胞壁に物理的に吸着します。細菌は成長しようとしますが、吸着した部分の細胞壁部が成長できず、アンバランスな成長となり、細胞の内圧を保つことができず、風船が割れるように自己融解します。【図1】
なお、この世界初のメカニズムは、「原子間力顕微鏡による可視化技術」を用いた動画撮影により確認できたことで実証されました。【動画】
【写真1】 http://www.atpress.ne.jp/releases/49976/img_49976_2.jpg
【図1】 http://www.atpress.ne.jp/releases/49976/img_49976_1.png
【動画】 http://youtu.be/MdfV-Hfo2JM
■本高分子コロイドの特長
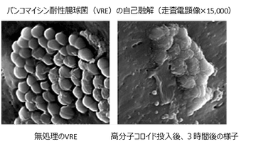
(1)耐性菌を生み出さず、多剤耐性菌にも効果を発揮
従来の抗菌・除菌剤は、薬理作用による細菌の組織合成阻害あるいは機能阻害をすることで効果を発揮する一方、細菌は抗菌成分を無効化する酵素を作り出すことなどで、耐性菌へと変化する可能性がありました。一方、本高分子コロイドは、細胞壁に物理的に吸着し細菌を自己融解に導くため、耐性菌発生のメカニズムとは無縁であり、耐性菌を生み出さず、多剤耐性菌にも有効です。【写真2】
【写真2】 http://www.atpress.ne.jp/releases/49976/img_49976_3.png
http://www.atpress.ne.jp/releases/49976/img_49976_4.png
(2)抗菌・除菌機能が持続
本高分子コロイドは、エタノールや次亜塩素酸などといった従来の抗菌・除菌特性を持つ低分子量化合物とは異なり、高分子体であるため、揮発せず安定的に留まり、抗菌・除菌機能が持続します。
(3)取扱いが極めて簡単
本高分子コロイドは、通常の明所実験室・室温で3年間保存しても、抗菌活性が保存前と変わらず安定しています。一般の生活環境において実用化が可能な抗菌・除菌剤用原料として期待されます。
三井化学ファイン株式会社は、多剤耐性菌にも効果を発揮する抗菌・除菌剤用高分子コロイドで、お客様との用途開発を積極的に推進し、世界中で大きな社会問題となっている感染防除へのソリューションを提供していきます。
※【写真1、2】、【動画】、【図1】城武 昇一 高知大学 医学部 特任教授ご提供
<本製品に関するお問い合わせ>
三井化学ファイン株式会社 新事業推進部
TEL:03-5203-7327


















