アフリカの最貧国 マラウィで挑む 遠隔妊婦腹部エコー健診システム導入プロジェクト 目標金額10,000,000円のうち3,229,100円を達成
4月30日までCAMPFIREにてクラウドファンディング実施中
アフリカの医療にイノベーション技術を取り入れ、ソーシャルビジネスの手法により、アフリカ医療にサステイナビリティをもたらすNPO法人 Redwood Mission(所在地:長崎県諫早市、理事長:信吉 正治 医師、医学博士)は、遠隔妊婦腹部エコー健診システムをマラウィに導入し、妊産婦死亡率を改善するプロジェクトを実施しており、目標金額10,000,000円のうち、3,229,100円を達成したことをお知らせします。
「世界最貧国マラウィで挑む「70倍の死亡率を変える」医療が自走する未来創りへの挑戦」クラウドファンディングサイト

遠隔妊婦腹部エコー健診システム導入プロジェクト
■開発背景
アフリカの最貧国であるマラウィは、妊産婦死亡率が日本の70倍にもおよびます。妊産婦死亡率が高い原因の一つは、妊産婦健診の不備にあります。妊婦が健診を受診するために数時間から半日歩いて診療所に行かなければなりませんし、診療所には胎児の状態を知るための腹部エコーもありません。そして医療体制を維持するために海外からの援助に頼らざるを得ない状況です。
■今後の展望
我々が、今回、マラウィに導入を目指しているのは、コンゴ民主共和国で確立された遠隔妊婦腹部エコー健診システムSPAQです。携帯電話にプローブを接続し、腹部エコー検査ができるシステムで、訓練を受けた看護師が操作をすることができ、かつインターネットで中央病院の医師と画面を共有することができます。トレーニングを受けた看護師が地域に出かけて妊婦の腹部エコー健診を施行し、異常が発見された場合には、中央の医師が画像を共有し、診断・緊急手術指示等の対処をすることができます。我々はこの医療システムの確立と共に、ソーシャルビジネスの手法を取り入れて、医療システムのサステイナビリティを得ることを目指します。
目標額は10,000,000円ですが、4月8日時点で、3,229,100円の支援金が集まっています。最終日は4月30日です。

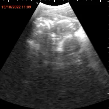
SPAQ利用の様子

画像共有による遠隔の医師の診断

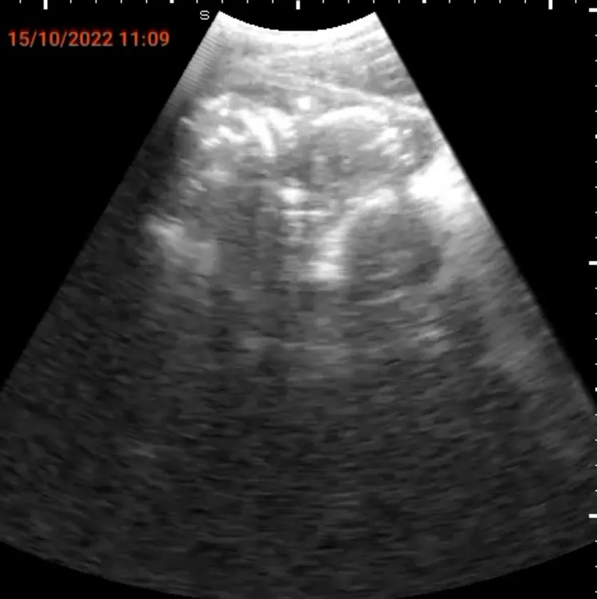
SPAQで発見された子宮外妊娠画像
■リターン例
15,000円:マラウィコーヒー
25,000円:長崎カステラ
45,000円:西アフリカ産の布地を使った“オリジナルトートバッグ”
■プロジェクト概要
プロジェクト名: 世界最貧国マラウィで挑む「70倍の死亡率を変える」
医療が自走する未来創りへの挑戦
期間 : 2025年2月25日(火)10:00~4月30日(水)24:00
■NPO組織概要
名称 : NPO法人 Redwood Mission
代表者: 理事長 信吉 正治
所在地: 〒854-0066
長崎県諫早市久山町1528-1 グランディールレゾン502
設立 : 2013年7月
URL : https://www.rwjn.org



















