世界幹細胞技術No.1会社EHL BIO、日本に上陸
株式会社EHL BIO(本社:ソウル特別市江南区狎鴎亭路136 EHLビル、代表取締役CEO MD:Hong-gi Lee)は、世界初の尿由来幹細胞治療剤であるKDSTEM Inj.の臨床第1相試験が2023年5月15日に承認され、日本での提供を2023年7月24日から開始することをお知らせいたします。
「EHL BIO」 http://www.ehlbio.co.kr/jp

メイン
【「EHL BIO」のサービス概要】
<特徴>
2023年5月15日EHLBIOの世界初の尿由来幹細胞治療剤の臨床第1相試験が承認され、日本に上陸することになりました。私たちの細胞治療剤は、患者本人の尿から幹細胞を採取して分離および培養過程を経て製造したものであり、腎臓特異的核心治療因子であるクロソが腎線維化の進行を効果的に抑制し、損傷した腎臓組織の再生を促進することを確認しています。今回の臨床試験は、慢性腎疾患患者を対象に、安定性、耐薬性、探索的有効性を確認しました。
すでに去る1月にはアトピー性皮膚炎治療剤であるADSTEM inj.の臨床第2相試験が完了しただけでなく、より安全で検証された臨床試験用医薬品の生産および供給ができるように今年下半期第3のGMP施設完工を計画中です。
今年で創立11周年を迎えた細胞専門R&D企業EHL BIOは、幹細胞研究を中心に重症疾患治療はもちろん、脱毛や皮膚美容の治療まで、人類の暮らしの質の改善を担う次世代治療剤革新に先駆けています。
EHL BIOの中核事業の一つであるアトピー性皮膚炎治療剤の場合、すでに2016年度に世界で初めて脂肪由来幹細胞を静脈投与するIV治療方式を選択し、食品医薬品安全処の承認まで取得しています。
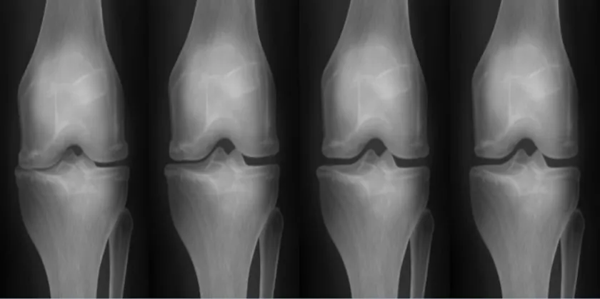
関節リウマチ(図1)や肝硬変(図2)など、特定の年齢層に限定されず、免疫力の低下で発生する可能性がある重症疾患の治療薬もやはりEHL BIOの核心研究分野です。両方の疾患ともに、既存の治療方式は「進行速度を遅らせること」に焦点を当てていましたが、EHL BIOが研究中の幹細胞治療剤の場合、患者本人の幹細胞の利用で免疫系拒絶反応を減らし「根本的な治療」が期待されます。
(図1)幹細胞施術前後の関節のレントゲン

(図1)幹細胞施術前後の関節のレントゲン
(図2)肝硬変(59歳, 男性)-施術後

(図2)肝硬変(59歳, 男性)-施術後
脂肪幹細胞は何度培養しても遺伝子の変異がなく分化能力に優れているため、様々な自己免疫疾患の治療に利用されており、関節リウマチの炎症反応を抑制するのに効果的です。また、肝硬化幹細胞治療プログラムは、他人の幹細胞ではなく自分の脂肪幹細胞を使用するため、細胞拒絶反応や副作用がなく、安全に肝細胞を回復できる治療方法であり、一度の脂肪採取で十分な量の幹細胞を抽出して何度も治療できるという利点があります。
世界的にバイオ産業への関心が高まっている中で、EHL BIOは今までの研究功労を認められ、国内有数の企業や大学病院と協約を結び、研究に拍車をかけています。
【企業概要】
株式会社EHL BIOは2012年2月に設立され、独自の細胞治療技術とメディカルを融合し、自己幹細胞治療剤と自己免疫細胞剤の開発に邁進し、韓国および世界の細胞治療の実用化を実現するために先駆けている企業です。
<詳細・申込>
https://www.instagram.com/ehlbiojapan/
■会社概要
商号 : 株式会社EHL BIO
代表者 : 代表取締役CEO MD Hong-gi Lee
所在地 : ソウル特別市江南区狎鴎亭路136 EHLビル
設立 : 2012年2月
事業内容: 未来再生医学 R&D研究所
URL : http://www.ehlbio.co.kr/jp/
【本サービスに関するお客様からのお問い合わせ先】
株式会社EHL BIO
Tel:+82-2-532-9855

















