東京農業大学とアルファー食品による共同研究 非アルコール性脂肪肝は「玄米」で予防・抑制できる ~そのメカニズムはビタミンA代謝の亢進!~
食生活の欧米化や運動不足による肥満は、脂質異常症、高血圧、2型糖尿病の原因となるばかりでなく非アルコール性脂肪肝(NAFLD)の原因であります。そのまま放置すると肝硬変、肝癌へと変遷することが知られており、日本国内のみならず大きな健康問題となっています。しかし、基本的に食事カロリーの制限と運動の推奨が治療戦略であり、積極的な治療方法はまだ確立されていないのが現状です。学校法人東京農業大学(東京都世田谷区桜丘1-1-1)とアルファー食品株式会社(島根県出雲市大社町北荒木645)の共同研究により、肥満が原因となるこのNAFLDが、玄米をたべることで、予防・抑制できることと、その作用機序について明らかにしました。特に、これまで報告例のない「ビタミンA代謝を亢進」することで脂質代謝を改善することを明らかにしました。これらの研究結果はNAFLDの発症予防および治療に有効であり、今後その有効成分を明らかにすることで米の消費拡大だけでなく、新たな薬剤開発につながることが期待されます。(図1参照)

図1
■研究背景
玄米は、食物繊維を多く含むことから整腸効果、血糖値上昇の抑制、血液中のコレステロール濃度の低下など、多くの生理機能が明らかになっており、その他にビタミンE、ナイアシン、ビタミンB1、マグネシウムや、脂質代謝改善能を有する特有な成分としてγ-オリザノールや GABAが含まれています。また、未だ同定されていない成分も多く含まれることから、玄米が有する機能成分や効果のさらなる研究は肥満症・糖尿病の予防法や治療法に大きく寄与することが期待されています。
■研究内容
<玄米摂取が脂肪肝の発症を抑制する>
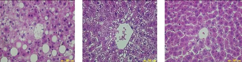
遺伝的に過食による肥満を呈する脂肪肝モデル動物(Zucker fattyラット)に、基本飼料(AIN-93G)に含まれる糖源であるコーンスターチをアルファ化した白米や玄米の粉末(アルファー食品株式会社製)に置き換えたものを与えて10週間飼育しました。
その結果、AIN-93Gを与えたラットは肥満およびNAFLDの症状を示しました。白米ではわずかに効果が見られましたが、玄米を餌に混ぜたラットはNAFLDを示しませんでした(下図参照)。また、血中の肝蔵の炎症を示す障害マーカーも、NAFLDで上昇し、玄米を食べたラットでは低下していました。

Zucker(基本飼料)群/Zucker(白米)群/Zucker(玄米)群
<脂肪肝発症の抑制メカニズム>
このメカニズムを解析する目的で、脂質代謝に関わる因子、特に今回は脂肪酸の分解(β酸化)と中性脂肪の血中への分泌に関係する遺伝子の発現量を解析したところ、β酸化に関わる遺伝子、分泌に関わる遺伝子がNAFLD発症で低下し、玄米摂取で回復・上昇していました。次に、これらの遺伝子の発現回復・上昇の原因を探りました。レチノイン酸シグナルが関係すると予想されたことから、その生合成に関わる遺伝子の発現を解析しました。その結果、研究結果では玄米摂取群では肝臓中のレチノイン酸生合成が上昇していることを明らかにしました。これらの結果から、玄米の摂取によりビタミンA代謝が亢進し、レチノイン酸の生合成量が増加したことにより、核内受容体を介して脂質代謝関連因子遺伝子の発現量が上昇、NAFLDが改善したことがわかりました。
以上の結果から私たちの研究チームは、過食によって肥満ラットがビタミンA欠乏を伴って発症したNAFLDは、玄米を食べることで予防、もしくは改善ができるとの結論に至りました。
■本研究の意義
脂質代謝はビタミンA代謝に大きく左右されることが知られています。一方で、NAFLDの発症原因はよくわかっていないことが多いのですが、高脂肪食を食べると肝臓中のビタミンA代謝が抑制されるとの報告があることから、原因の一つに肥満による潜在的ビタミンA欠乏があるという説があります。また、NAFLDの改善にビタミンAの活性本体の一つであるレチノイン酸の誘導体が有効であるという研究報告があります。しかし、レチノイン酸は生体内ではその生合成量が厳密にコントロールされており、そのため外部からの投与では過剰症を生じる可能性があるため、投与に関しては特に慎重である必要があります。今回の研究成果は玄米摂取がレチノイン酸の生合成経路を回復させる作用機序を明らかにしたもので、生体が持つ調節機構を正常化することで、過剰症を気にすることなく、また日常の食事で病状の回復を見込めると考えられ、多くの人が負担なくNAFLDの回復を目指すことができるメリットがあります。
「用語集」
・非アルコール性脂肪肝(NAFLD)
食生活の欧米化や運動不足による肥満は、脂質異常症、高血圧、2型糖尿病の原因となることが知られており、インスリンに対する感受性の低下が主原因です。
この肥満は2型糖尿病の発症リスクを上げるだけではなく、「非アルコール性脂肪肝(Non-alcoholic fatty liver disease: NAFLD」の原因でもあります。NAFLDは生活習慣のみならず、遺伝的要因や腸内細菌叢の変動などさまざまな要因によって発症することが報告されていますが、そのまま放置すると脂肪肝炎(Nonalcoholic steatohepatitis: NASH)をへて肝癌の発症へと進行することが知られています。現在人間ドックの検診者の20-30%が脂肪肝であるとの報告もあり、頻度は年々増加傾向にあり、大きな健康問題となりつつあります。
・2型糖尿病
糖尿病には1型と2型糖尿病があり、2型糖尿病は過食や運動不足が原因の肥満に起因することが知られています。日本人成人男性の3人に1人、女性の場合5人に1人は肥満である(BMIが25以上)と報告されており、2型糖尿病予備軍も含めて大きな健康問題となっています。
肥満した脂肪細胞から分泌されるサイトカインや遊離の脂肪酸が骨格筋や肝臓でのインスリンの情報伝達機構を阻害することでインスリン抵抗性を誘導することが知られており、インスリン抵抗性は肝臓や腎臓など多臓器に多くの障害を引き起こすことが知られています。
・Brown rice inhibits development of non-alcoholic fatty liver disease in obese Zucker (fa/fa) rats by increasing lipid oxidation via activation of retinoic acid synthesis
・Yu Matsumoto(1), Saya Fujita(1), Ayano Yamagishi(1), Tomomi Shirai(1), Yukie Maeda(2), Tsukasa Suzuki(1), Ken-ichi Kobayashi(1,3), Jun Inoue1, Yuji Yamamoto(1)
掲載論文 The Journal of Nutrition, https://doi.org/10.1093/jn/nxab188
First Published online: 05 July 2021























