親知らずを前歯にできる! 不可能と思われていた歯の移植手術が実現 ゆとり歯科医院、3D-CTと3Dプリンターによる 新たな歯牙移植治療を発表
ゆとり歯科医院(所在地:東京都国分寺市、院長:羽田 裕二)は、3月21日(木)の「第18回日本再生医療学会総会」での講演会において、今まで不可能と考えられていた「埋伏の親知らずを前歯に移植した症例」を発表いたします。

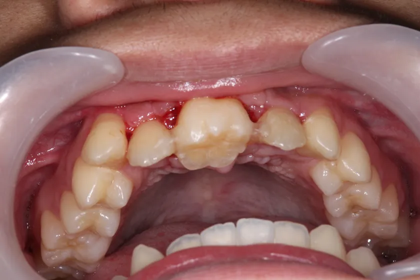
親知らずの移植後
ゆとり歯科医院 公式サイト: http://www.yutori-shika.com/
従来「歯の移植手術」では、レントゲンや模型などを用いて、親知らずなど移植する歯の形状を確認し、手術時に移植先の顎骨を削る必要がありました。この際、移植歯を移植先の部位に何回も抜き差しすると、歯根膜と呼ばれる部位が傷むため、移植後の定着率が低くなる傾向にありました。
ゆとり歯科医院では、「歯の移植手術」における、歯(歯根膜)損傷のリスクを低減するため、移植前に3D-CTと3Dプリンターで患者様の親知らずと同じ形状の「歯のレプリカ」を制作し、精密なシミュレーションを行うことで、移植後の定着率を向上させることとともに、移植困難と思われる症例を成功いたしました。
<症例(19歳男性)>
自転車転倒により上の前歯を喪失した患者で入れ歯を入れるも紛失し、インプラント治療以外で治療法がないかと移植に希望をもって当院へ来院されました。当初は下の両側の小臼歯2本を移植し、矯正で抜いた部分を閉鎖しようと検討したものの、矯正医よりスペースの閉鎖は困難と診断され断念。家族、本人の熱意もあり、「埋伏の親知らず」を移植する計画を立て、3D-CTと3Dプリンターを用いての精密なシミュレーションを行った上で施術を行いました。
3D-CT、3Dプリンターがない時代は、手術後が全く予想できず、考えたとしても空論でしかなく、また今まで論文も存在しないため、本症例は世界で初めての施術例となります。本症例につきまして、3月21日(木)に開催される以下学会において発表させて頂きます。
■「第18回日本再生医療学会総会」について
学会名: 第18回日本再生医療学会総会
URL : http://www2.convention.co.jp/18jsrm/
会場 : 神戸国際会議場(〒650-0046 神戸市中央区港島中町6-9-1)
4F会議室401・402
講演日: 2019年3月21日(木)16:45より
演題名: 3D-CTおよび3Dプリンターによる新たなる歯牙移植治療の稀有な1例
講演者: ゆとり歯科医院 院長 羽田 裕二
■ゆとり歯科医院 概要
名称 : ゆとり歯科医院
院長 : 羽田 裕二
研究・講演実績: http://www.yutori-shika.com/biginner/actual/
所在地 : 東京都国分寺市泉町3-1-17 カリーノ西国分寺1階
診療科目:一般歯科、小児歯科、歯科口腔外科、矯正歯科、訪問歯科診療
※すべて予約制
※矯正歯科は、月末の指定日のみ
※睡眠時無呼吸症候群口腔内装置の治療は、金曜日、土曜日午後のみ
※訪問診療は水曜日午後、その他随時
診療時間 : 09:00~13:00(最終予約 12:45)
15:00~19:00(最終予約 18:45)
休診日 : 日曜日、祝日 水曜日午後
公式サイト: http://www.yutori-shika.com/























