稲葉歯科医院(所在地:東京都千代田区、院長:稲葉 由里子)の顧問、稲葉 繁がリーゲルテレスコープを用いて施した治療から31年が経過しました。今でも患者さんの入れ歯は不具合なく使われています。
稲葉歯科医院では、諸外国で最も進んでいるドイツの入れ歯、「リーゲルテレスコープ」を用いた治療を推奨しています。
歯を失った際に行う治療の主流はインプラントですが、歯の喪失を予防することはできません。高齢者の多くが他に病気をもっていること、歯周病がある、骨粗鬆症で顎の骨がもろい、などインプラントで治療ができない場合があるのも事実です。
また、保険で作る入れ歯は、クラスプというバネを残存歯にかけて使用するため、健康な歯にバネの力が加わり、結果的に歯を失ってしまうこともあります。
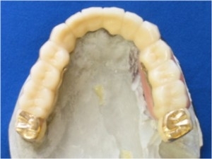
リーゲルテレスコープのリーゲル(Riegel)とはドイツ語で閂(カンヌキ)のことで、入れ歯に小さな鍵のような装置を付け、この鍵の開閉によって入れ歯が簡単に着脱できるようなしくみになっています。
さらに、年月の経過と共に変化する口腔の状態に応じ、いつでも修理が可能です。すべての歯を連結、固定することにより強くなり、歯の喪失を予防することができます。
今まで、歯が抜ける度に何度も作り替えていた入れ歯が、生涯ひとつの入れ歯で過ごすことができます。
舌で触れても違和感がなく、装用感は入れ歯が入っていることを忘れてしまうぐらい快適です。
また、リーゲルテレスコープの技術の高さは、稲葉歯科医院顧問、稲葉 繁が、ドイツから初めてリーゲルテレスコープを日本に紹介してから既に31年が経った今も、当時治療した患者さんの入れ歯がしっかり使われていることで証明ができます。稲葉はこの31年の間に、リーゲルテレスコープを用いた治療を1,000症例以上、行って参りました。
◆リーゲルテレスコープの特徴
・年月の経過と共に変化する口腔の状態に応じ、いつでも修理が可能
・残存歯の喪失を予防することができる。
・入れ歯であることが周囲に気づかれないほど自然
・快適な装用感
◆メディアでの紹介
2009年1月30日の朝日新聞に「中高年の歯のケア」について掲載されました。
NHK番組「ご存じですか?」に「高齢者の歯のケア」について放映されました。
生涯、自分の歯であることが一番大切ですが、残念ながら歯を失ってしまった場合は、入れ歯という選択肢も含めてどのような治療方法が自分にとって最善か、歯科医師を相談することが大切なのはいうまでもありません。
稲葉歯科医院では、今後も患者様の笑顔のために、最善の治療を提供していきたいと思っています。
【稲葉歯科医院 概要】
名称: 稲葉歯科医院
住所: 〒101-0021 東京都千代田区外神田4-7-3 田中ビル6F
院長: 稲葉 由里子
顧問: 稲葉 繁
TEL : 03-3251-8660
FAX : 03-3251-8660
URL : http://www.inaba-shika.com/
稲葉 繁 略歴
1964年 日本歯科大学卒業
1968年 日本歯科大学大学院終了
1969年 日本歯科大学歯学部補綴学教室講師
1972年 日本歯科大学歯学部補綴学教室助教授
1978年 西ドイツチュービンゲン大学留学
E.Koerber教授の下で客員教授
1992年 日本歯科大学歯学部高齢者歯科学教授
1999年 日本歯科大学歯学部補綴学第3講座教授
2005年 日本歯科大学退職
現在 IPSG包括歯科医療研究会最高顧問
日本老年歯科医学会常任理事
日本老年学会理事
財団法人口腔保険協会理事
トゥースフレンドリー協会理事
IPSG包括歯科医療研究会代表


パワーパフガールズのスクールバッグが出た!?最新グッズは思わず派手にデコりたくなるスクバでアレンジを思いっきり楽しめそう。
パーフェクト・ワールド株式会社
5時間前


スヌーピーとオラフの冬仕様マスコット。ニット素材が最高に可愛い!
パーフェクト・ワールド株式会社
6時間前


リラックマのお顔で埋め尽くしたいのです。普段持ち歩く日用雑貨もいやしのリラックマフェイスでそろえませんか?
パーフェクト・ワールド株式会社
7時間前


【実家じまい】年末年始に実家で話したい重要事項5選|property technologies
株式会社property technologies
8時間前


カービィと和のデザインの組み合わせが最高!星のカービィ「ふわふ和コレクション」のガーゼフェイスタオルです。
パーフェクト・ワールド株式会社
8時間前


5日間限定の新作クリスマスケーキが登場!予約なしで特別な聖夜を
パティスリー洛甘舎
8時間前
人気のプレスリリース


1
デスクトップに上質なリスニング体験を 国産USB DAC/ヘッドホンアンプ「SWD-BA30」 12月19日(金)予約受付開始!
城下工業株式会社
16時間前


2
<道の駅そらっと牧之原> 2025年12月27日~2026年1月4日、9日間の限定開催! 2026年を元気に迎えよう! 【心ひとつに迎える大新春祭-そらっと牧之原、初めての正月-】
株式会社村の駅
16時間前


3
ケーブル1本つなぐだけで、テレビの音がぐっと豊かに。 超簡単&小型 テレビ用アンプ「SWD-TV1/SW TV Plus」開発 『Makuake』にて12月21日より先行予約販売開始!
城下工業株式会社
12時間前


4
大阪府主催・初のeスポーツイベント「Osaka GeN Scramble」 にじさんじ・本間ひまわりさんが応援アンバサダーに就任! 大阪府の吉村洋文知事がDAY2のオープニングに登壇決定!
大阪eスポーツ文化普及事業共同企業体 (ブロードメディアeスポーツ株式会社・株式会社PACkage)
14時間前


5
【開催レポート】日本最大級のサイバーセキュリティ国際会議 「CODE BLUE 2025」盛況のうちに閉幕!
CODE BLUE 実行委員会
14時間前


6
軍用ヘリのワイルド感をそのままに! 手軽に遊べる1/48スケール 電動RCヘリ 「MH-60 INCR」12月27日(土)販売開始!
株式会社ジーフォース
19時間前



