会員登録 / ログイン
新着
地域検索
エンタメ
スポーツ
アニメ・ゲーム
BtoB・ビジネス
旅行・お出かけ
グルメ
ネット・IT
ファッション
コスメ
ライフスタイル
金融・経済
調査
Copyright 2006- SOCIALWIRE CO.,LTD. All rights reserved.
トップページ
/
タグ検索
/
免疫チェックポイント阻害剤
免疫チェックポイント阻害剤の最新ニュース
腹膜転移型胃がんに治療効果を示すmRNAワクチンを開発 免疫チェックポイント阻害剤と併用する治療法の確立に期待
2025-08-01 14:00
学校法人近畿大学
肝動脈化学塞栓療法と薬剤2種の併用で肝細胞がんへの治療効果が向上 レンバチニブとペムブロリズマブ併用による肝細胞がんの完治に期待
2025-01-09 08:30
学校法人近畿大学
あらゆる固形がんを8種に分類するプログラムを開発 がん治療薬である免疫チェックポイント阻害剤の効果を事前予測
2022-07-22 23:00
学校法人近畿大学
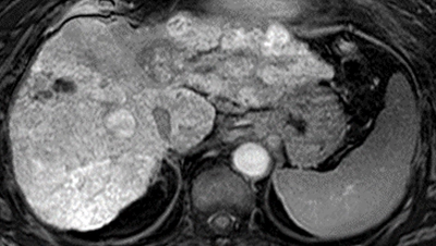
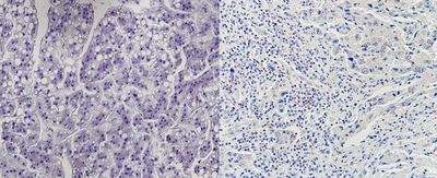
肝細胞がん免疫療法の効果を予測する画像バイオマーカーを発見 免疫療法の効果がない患者に対するMRI診断の有効性を証明
2021-08-19 21:00
学校法人近畿大学
世界初!免疫チェックポイント阻害剤の有効性を事前予測 個々の患者に適した肝がん薬物治療法の確立に期待
2021-06-10 14:00
学校法人近畿大学
世界初! 肝機能不良の進行肝細胞がん患者に対する 免疫チェックポイント阻害剤「オプジーボ」の有効性・安全性を証明
2021-05-27 09:00
学校法人近畿大学
1