世界初!免疫チェックポイント阻害剤の有効性を事前予測 個々の患者に適した肝がん薬物治療法の確立に期待

近畿大学医学部(大阪府大阪狭山市)内科学教室(消化器内科部門)教授の西田 直生志、主任教授の工藤 正俊らを中心とする研究チームは、肝がん(肝細胞がん)の治療において免疫チェックポイント阻害剤※1 の有効性を数値化して予測することに世界で初めて成功しました。
肝がん薬物療法においては、分子標的薬※2 や免疫チェックポイント阻害剤を軸にした治療が行われていますが、これまでそれぞれの薬の効果を予測することは困難でした。この研究成果は、個々の患者に対して有効性の高い薬を事前に見つけることに繋がるため、治療への活用が大いに期待されます。
本件に関する論文が令和3年(2021年)6月10日(木)に消化器病学部門、腫瘍学部門の専門誌"Liver Cancer"にオンライン掲載されました。
【本件のポイント】
●肝がんで腫瘍を攻撃する免疫の因子をスコア化し、免疫チェックポイント阻害剤の有効性を予測
●肝がんをスコアにより3群に分けて調べたところ、最も治療への反応が良い群では悪い群と比較して、無増悪生存期間に最大約4倍の開きがあることを発見
●免疫チェックポイント阻害剤を軸とした有効例予測を応用した新たな治療法確立に期待
【本件の背景】
肝がんは、世界のがん死亡原因としては3番目に多く、再発の多い予後の悪いがんです。進行した段階では、分子標的薬や免疫チェックポイント阻害剤を軸にした薬物治療が行われますが、その効果を予測することは困難です。
一方、肝がんでは、がん遺伝子「β-カテニン」の変異が多いことが知られており、β-カテニン変異のある例では免疫チェックポイント阻害剤の効果が弱いことが報告されています。β-カテニン変異がある場合には、細胞のがん化に関わるβ-カテニンシグナル※3 が活性化されます。
研究グループは以前に多数の肝がん組織を解析し、がん化に関わる細胞内シグナルと免疫チェックポイント分子の発現、がん組織に浸潤しているリンパ球の特徴を報告しています。
引用論文:(西田 直生志 他;Association between genetic and immunological background of hepatocellular carcinoma and expression of programmed cell dealth-1.Liver cancer 2020;9:426-439.https://doi.org/10.1159/000506352)
【本件の内容】
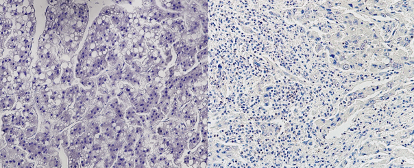
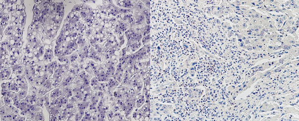
研究グループは、肝がん薬物療法における治療薬の有効性の予測をめざし、肝がんで免疫チェックポイント阻害剤(抗PD-1抗体)が使用された34例のがん組織を解析しました。その結果、がん組織にリンパ球が多く、さらに免疫チェックポイント分子が多く発現している場合は、免疫チェックポイント阻害剤への反応が良好であり、一方、リンパ球を介した免疫応答を妨げるシグナル(β-カテニンシグナル)が活性化したがんでは、免疫チェックポイント阻害剤の効果が落ちる可能性があることを報告しました。
肝がん例について、免疫チェックポイント分子の発現、がん組織のリンパ球の浸潤、β-カテニンシグナルの活性化を調べ、これらの所見が全くないグループ、1つの所見があるグループ、2つ以上の所見があるグループの3群に分けたところ、免疫チェックポイント阻害剤の治療開始後に腫瘍が再度大きくなるまでの日数(無増悪生存期間)では、最も長い群で271.5日、最も短い群で55日であり、4倍以上の開きがあることを確認しました。
本研究の成果は、免疫チェックポイント阻害剤を軸とした肝がん治療において、有効性の高い症例を予測し、効果が高い薬剤の選択に繋がるもので、治療への活用が大いに期待されます。

【論文掲載】
掲載誌 :Liver Cancer (インパクトファクター:11.740@2020)
論文名 :
Immunological microenvironment predicts the survival of the patients with hepatocellular carcinoma treated with anti-PD-1 antibody
(肝細胞癌の腫瘍微小免疫環境状態を用いた抗PD-1抗体に対する反応性の予測)
著 者:
盛田 真弘1、西田 直生志1、坂井 和子2、青木 智子1、千品 寛和1、田北 雅弘1、依田 広1、萩原 智1、南 康範1、上嶋 一臣1、西尾 和人2、小林 由香里3、垣見 和宏3、工藤 正俊1
責任著者:西田 直生志
所 属:
1.近畿大学医学部内科学教室(消化器内科部門)
2.近畿大学医学部ゲノム生物学教室
3.東京大学医学部附属病院免疫細胞治療学講座
【研究詳細】
本研究では、肝がんのβ-カテニンシグナル活性化に加えて、免疫チェックポイント分子PD-L1の発現と浸潤リンパ球の状態からなるスコアにより肝がん例をグループ分けし、グループ間で抗PD-1治療後の無再発生存期間が異なることを示しました。また、合わせて、前述のβ-カテニンシグナルが変異により活性化している肝がんでは、リンパ球由来のインターフェロンγ産生と関連する遺伝子群の発現量が低下するため、免疫チェックポイント阻害剤の効果が落ちる可能性を明らかにしました。
がん特有の遺伝子の変化(突然変異)やがんを攻撃する免疫細胞の状態を使ったスコアモデルを開発し、免疫チェックポイント阻害剤の使用例において無再発生存期間を調べたところ、最も反応の良いグループの無増悪生存期間中央値※4 は271.5日、最も反応の悪いグループでは55日であり、反応の良い群では、無増悪生存期間に4倍以上の延長が見込まれることを確認しました。
【用語解説】
※1 免疫チェックポイント阻害剤:免疫細胞(Tリンパ球)によるがん細胞への攻撃を抑える分子(免疫チェックポイント分子)に対する阻害剤。
※2 分子標的薬:がん細胞などで、特徴的に発現している分子(その細胞だけに発現している、あるいは発現量が多い)を阻害する薬であり、がん細胞を効率よく攻撃することができる。
※3 β-カテニンシグナル:発生の過程での体の部位の形成や細胞増殖などをコントロールするシグナル。がんではしばしば突然変異により活性化することが知られている。
※4 無増悪生存期間中央値:がんが進行せず安定した状態にある期間(病気の進行を止めた期間)を無増悪生存期間と言い、中央値とはそのグループでの全体の中で真ん中の値。
【関連リンク】
医学部 医学科 教授 西田 直生志(ニシダ ナオシ)
https://www.kindai.ac.jp/meikan/653-nishida-naoshi.html
医学部 医学科 教授 西尾 和人(ニシオ カズト)
https://www.kindai.ac.jp/meikan/757-nishio-kazuto.html
医学部 医学科 教授 工藤 正俊(クドウ マサトシ)
https://www.kindai.ac.jp/meikan/569-kudou-masatoshi.html
医学部 医学科 講師 坂井 和子(サカイ カズコ)
https://www.kindai.ac.jp/meikan/1674-sakai-kazuko.html
医学部 医学科 医学部講師 田北 雅弘(タキタ マサヒロ)
https://www.kindai.ac.jp/meikan/1772-takita-masahiro.html
医学部 医学科 医学部講師 依田 広(イダ ヒロシ)
https://www.kindai.ac.jp/meikan/1980-ida-hiroshi.html
医学部 医学科 医学部講師 萩原 智(ハギハラ サトル)
https://www.kindai.ac.jp/meikan/1577-hagihara-satoru.html
医学部 医学科 医学部講師 南 康範(ミナミ ヤスノリ)
https://www.kindai.ac.jp/meikan/1525-minami-yasunori.html
医学部 医学科 医学部講師 上嶋 一臣(ウエシマ カズオミ)
https://www.kindai.ac.jp/meikan/1540-ueshima-kazuomi.html


