会員登録 / ログイン
新着
地域検索
エンタメ
スポーツ
アニメ・ゲーム
BtoB・ビジネス
旅行・お出かけ
グルメ
ネット・IT
ファッション
コスメ
ライフスタイル
金融・経済
調査
Copyright 2006- SOCIALWIRE CO.,LTD. All rights reserved.
株式会社CEホールディングス、株式会社マイクロンの最新ニュース・プレスリリース | NEWSCAST
メディカル・プリンシプル社とのプログラム医療機器 開発に関する協業について
2024-07-17 15:30
マイクロンとフランスECLEVAR社との業務提携について
2023-08-07 15:30
JETROがマイクロンを海外展開支援対象企業に選定
2023-04-25 15:30
マイクロンの台湾での プログラム医療機器販売店契約締結のお知らせ
2023-03-28 15:30
株式会社CEホールディングス、株式会社マイクロン
国立大学出願特許の独占的実施許諾の取得検討に関するお知らせ
2023-03-27 14:00
株式会社CEホールディングス、株式会社マイクロン
医用動画読影サービスの改善・拡大のお知らせ
2023-02-27 15:30
株式会社CEホールディングス、株式会社マイクロン
マイクロン製品の台湾での プログラム医療機器ライセンス取得のお知らせ
2022-10-04 15:30
株式会社CEホールディングス、株式会社マイクロン
Global Regulatory Partners, Inc.社との パートナーシップ構築に関する覚書締結のお知らせ
2022-05-10 15:30
株式会社CEホールディングス、株式会社マイクロン
プログラム医療機器(SaMD)承認取得支援実績のお知らせ
2022-04-28 15:30
株式会社CEホールディングス、株式会社マイクロン
プログラム医療機器(SaMD)の導入推進プロジェクト開始 ~画像解析技術を活用したSaMDに係る Seeds/Needsをマッチング~
2021-07-09 15:30
株式会社CEホールディングス、株式会社マイクロン
マイクロンの画像解析事業が、市場調査レポートで 全世界トップ10に選出されました
2020-12-16 15:30
株式会社CEホールディングス、株式会社マイクロン
医療機器における 品質マネジメントシステム認証取得のお知らせ
2020-06-17 15:30
株式会社CEホールディングス、株式会社マイクロン
新型コロナウイルス(COVID-19)感染症に関連した 受託実績(承認取得)のご案内
2020-06-17 15:30
株式会社CEホールディングス、株式会社マイクロン
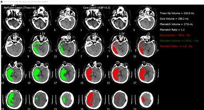
脳画像解析プログラム PMAneo 販売開始のお知らせ ~ 医療機関向けに新たな医療用画像解析ソフトウェアを販売 ~
2020-04-13 15:30
株式会社CEホールディングス、株式会社マイクロン
株式会社CEホールディングス、株式会社マイクロン
トップページ
/
株式会社CEホールディングス、株式会社マイクロン